Bunions are a common and often painful foot condition that affects thousands of Australians every year. Medically known as hallux valgus, a bunion is a bony bump that forms at the base of the big toe, causing the toe to angle inward toward the second toe. This misalignment can lead to discomfort, swelling, redness, and difficulty finding shoes that fit properly. For many people, conservative treatments such as orthotics, bunion pads, or footwear modifications provide sufficient relief. However, when the bunion becomes severe or persistent, surgery may be recommended.
In Australia, bunion surgery is performed by orthopaedic surgeons or podiatric surgeons depending on the complexity of the case and the healthcare provider’s qualifications. There are several surgical techniques available, and the choice of procedure largely depends on factors such as the severity of the bunion, the patient’s foot anatomy, activity level, age, and overall health.
In this post, we’ll break down the main types of bunion surgery available, explain how they differ, and what you can expect from each procedure. Let’s dive in!
1. Chevron (Austin) Osteotomy
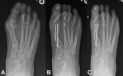
One of the most commonly performed procedures for mild to moderate bunions is the Chevron Osteotomy, also referred to as an Austin Osteotomy. This technique involves making a V-shaped cut in the head of the first metatarsal bone (the long bone behind the big toe). The surgeon then shifts the head of the bone laterally (towards the second toe) to realign the joint, securing the bone with small screws.
Advantages:
- Minimally invasive compared to more complex surgeries
- Typically quicker recovery time
- Effective for mild to moderate bunions
Recovery:
Patients are usually able to bear weight on the foot shortly after surgery, often with the aid of a post-operative shoe. Most people return to normal activities within 6–8 weeks, though full recovery may take a few months.
2. Scarf Osteotomy
The Scarf Osteotomy is commonly used for moderate to severe bunions and offers a more robust correction than the Chevron procedure. It involves making a Z-shaped cut along the shaft of the first metatarsal bone. This allows the surgeon to shift and rotate the bone into proper alignment, securing it with screws for stability.
Advantages:
- Provides stronger correction for moderate to severe deformities
- Lower risk of recurrence when done properly
- Good option for active individuals who require durable results
Recovery:
Similar to the Chevron osteotomy, weight-bearing is often permitted early on, but full recovery can take up to 3–6 months. Physiotherapy may be recommended post-surgery to restore strength and flexibility.
3. Akin Osteotomy
The Akin Osteotomy is often performed in combination with other bunion procedures. It involves removing a small wedge of bone from the base of the big toe’s first phalanx (the bone closest to the foot) to straighten the toe further. This procedure fine-tunes the alignment, especially when there’s residual hallux valgus deformity even after the main osteotomy.
Advantages:
- Addresses deformities in the toe itself, not just the metatarsal bone
- Improves overall alignment and cosmetic appearance
- Minimal additional recovery time when combined with other surgeries
4. Lapidus Procedure (First Tarsometatarsal Fusion)
For more severe bunions, particularly those associated with hypermobility of the first tarsometatarsal joint (the joint at the base of the first metatarsal), the Lapidus Procedure is often recommended. This surgery involves fusing the first metatarsal bone to the medial cuneiform bone, effectively stabilising the joint and preventing further movement that contributes to the bunion.
Advantages:
- Ideal for severe deformities and hypermobile joints
- Reduces the risk of recurrence
- Long-lasting results
Recovery:
Recovery is longer with this procedure. Patients may need to avoid weight-bearing for 6–8 weeks, using crutches or a knee scooter. Full recovery can take 6 months or longer, but the results are often worth it for those with severe issues.
5. Minimally Invasive Bunion Surgery (MIS)
Minimally Invasive Surgery (MIS) for bunions has gained popularity in recent years in Australia. This technique involves making very small incisions (usually only a few millimetres long) and using specialised instruments and imaging guidance to perform bone cuts and realignment.
Advantages:
- Less soft tissue disruption
- Smaller scars
- Reduced post-operative pain and swelling
- Quicker recovery compared to traditional open surgeries
Considerations:
While MIS offers promising results, it’s typically suitable for mild to moderate bunions and may not be the best choice for severe cases. The success of the procedure heavily depends on the skill and experience of the surgeon.
6. Exostectomy (Bunionectomy)
In an Exostectomy, also known as a Bunionectomy, the surgeon simply removes the bony bump on the side of the metatarsophalangeal (MTP) joint. However, it doesn’t correct the underlying structural deformity and is therefore rarely performed in isolation.
Advantages:
- Quick procedure
- Reduces pain caused by shoe irritation
Limitations:
This surgery is generally reserved for patients who cannot undergo more invasive procedures or as part of a broader surgical plan. The likelihood of bunion recurrence is high if structural correction isn’t addressed.
7. Arthrodesis (Joint Fusion)
Arthrodesis involves fusing the bones of the metatarsophalangeal (MTP) joint to eliminate motion and alleviate pain. It’s often used in cases of severe bunions accompanied by arthritis or joint degeneration.
Advantages:
- Excellent for painful, arthritic joints
- Highly stable and long-lasting correction
- Eliminates pain by preventing movement in the damaged joint
Recovery:
Because the joint is fused, flexibility is permanently reduced. Non-weight-bearing is typically required for 6–8 weeks, and overall recovery may take several months.
8. Resection Arthroplasty (Keller Procedure)
The Keller Procedure involves removing a portion of the base of the big toe’s proximal phalanx to create more space within the joint. It’s primarily used for elderly patients, people with low activity demands, or those with severe joint arthritis.
Advantages:
- Reduces pain and improves shoe fit
- Suitable for older individuals or those with compromised bone quality
Drawbacks:
This procedure can result in decreased toe strength and stability, sometimes leading to a “floppy toe” or lesser walking efficiency.
Final Thoughts
Bunion surgery isn’t a one-size-fits-all solution. In Australia, patients have access to a variety of surgical techniques, each tailored to suit different levels of deformity, patient lifestyle, and individual anatomy. The key to achieving the best outcome lies in thorough consultation with a qualified podiatric or orthopaedic surgeon. They’ll assess your condition, review imaging (such as X-rays), and discuss your personal goals and expectations.
Post-operative care is equally critical—following your surgeon’s advice regarding weight-bearing restrictions, wound care, and physical therapy can make a huge difference in your recovery journey.
If you’re considering bunion surgery, don’t hesitate to seek a second opinion, especially if you’re unsure about which procedure is right for you. Australia’s healthcare system offers excellent podiatric and orthopaedic specialists, many of whom stay at the forefront of surgical innovations, including the latest minimally invasive techniques.

